Zahnersatz

Kronen in Stuttgart

Kronen für langanhaltenden Schutz und natürliche Ästhetik

Auf Zähnen

Eine Krone dient dem Schutz eines beschädigten Zahnes und der Wiederherstellung seiner Form und Funktion. Nach Beschleifen des betroffenen Zahnes wird der Kiefer für den Zahntechniker abgeformt.

Zähne vor und nach dem Einsetzen von Zahnkronen, Darstellung der oberen und unteren Zahnreihen im Vergleich.
Seitliche Ansicht eines lächelnden Gesichts mit Zahnkronen, die ein ästhetisch verbessertes Zahnbild zeigen.

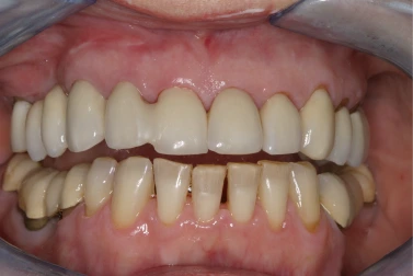
Unschöne alte Kronenversorgung

Der heutige Anspruch an naturgetreue Ästhetik lässt die einst verwendete Krone aus Edelmetall (Goldkrone) beinahe aus der Zahnheilkunde verschwinden. Ihre Funktion ist selbstverständlich weiterhin gut. Die moderne Krone besteht entweder aus reiner Keramik oder beinhaltet einen Unterbau aus Edelmetall.

Nahaufnahme eines Gebisses mit Zahnkronen, die eine vollständige Zahnsanierung darstellen.
Lächelndes Gesicht einer Frau nach einer Zahnrestauration mit Zahnersatz, der eine natürliche Ästhetik zeigt.

Zustand nach Zahnfleisch-Optimierung und Versorgung mit IPS e.max™Kronen

In unserer Praxis findet vornehmlich die IPS e.max™Krone Anwendung. Dabei handelt es sich um ein modernes vollkeramisches System zur Herstellung von Inlays, Kronen, Teilkronen und kleinen Brücken.

Nahaufnahme von beschädigten und verfärbten vorderen Zähnen, die eine Zahnrestauration erfordern.

Unschöne Frontzähne vorher

Nahaufnahme von vorderen Zähnen mit Zahnkronen, die ein ästhetisches und gleichmäßiges Zahnbild zeigen.

vollkeramische Kronen nachher

Weitere Leistungen erkunden

Brücken

Gesunde Zähne durch Parodontologie-Behandlung.

Möchten Sie mehr erfahren?

Erfahren Sie mehr über unsere Zahnbehandlungen und wie wir Ihnen zu einem gesünderen Lächeln verhelfen können

Kontakt

Jetzt Termin vereinbaren

Kommen Sie in den Genuss erstklassiger Zahnmedizin! Buchen Sie noch heute Ihren Termin und lassen Sie sich von unserem erfahrenen Team umfassend betreuen. Wir freuen uns darauf, Sie bei uns begrüßen zu dürfen.

Anfahrt

Es gibt mehrere Möglichkeiten bei uns zu parken. Zum einen gibt es einen Parkplatz direkt gegenüber unserer Praxis in Richtung Kurpark. Des Weiteren gibt es seit 2013 ein unterirdisches Parkhaus ca. 100m von unserer Praxis entfernt. Dieses befindet sich gegenüber der Königkarlstrasse 1.

Anfahrtsplan zur Praxis von Dr. Drescher in Stuttgart mit Parkplatz und Parkhaus.
Luftbild der Praxis von Dr. Drescher in Stuttgart mit Parkplatz und Parkhaus.

Mit den öffentlichen Verkehrsmitteln

Die Stadtbahn-Linie U2 hält, vom zentralen Knotenpunkt Charlottenplatz (Stuttgart Innenstadt) kommend, direkt am Cannstatter Kursaal. Sämtliche S-Bahn-Linien fahren über Stuttgart Hauptbahnhof. Von dort erreichen Sie mittels diverser Stadtbahnen den nahe gelegenen Charlottenplatz, wo Sie in die U2 umsteigen und bis zur Haltestelle „Kursaal“ fahren. Weitere Informationen unter www.vvs.de.
Karte des Stuttgarter Nahverkehrs zur Anfahrt zu Dr. Drescher.